티스토리 뷰

오늘 시간은 치석의 원인 예방방법 및 유발질병에 대하여 알아보도록 하겠습니다. 이 문서를 읽으시면 치석의 원인 예방방법 및 유발질병을 이해할 것입니다. 치석의 원인 예방방법 및 유발질병이 궁금하시다면 모두 읽어주세요. 이제 아래에서 치석의 원인 예방방법 및 유발질병을 알아보도록 합시다.


저는 잇몸이 자주 붓는 케이스인지라 무조건 1년에 한번은 (아니면 그 이상) 스케일링을 받고 있습니다. 칫솔질을 하면 피가 철철 나는적도 자주 있었죠... 그러고 치과에 방문하면 고통스러운(?)치과 치료를 견뎌내야했습니다. 그 원인이 무엇일까요?

치석이라고 얘기를 해볼 수 가 있는데요
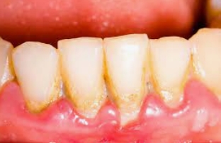
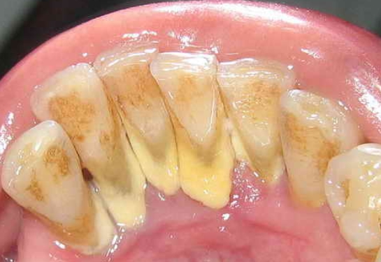
치석이란 치아와 잇몸사이 미세한 틈으로 세균막이 쌓여서 생긴것을 의미합니다. 주된 원인은 치아를 사용함에 따라 축척되는 음식물들이 생기는게 주원인입니다.
24시간이 되도록 이물질이 방치될때부터 석회화가 시작이 되는데요
꼼꼼하게 이를 잘닦는다고 해도, 사실 디테일한 영역까지 케어를 하려면 치실과 치간칫솔을 이용하시는게 좋습니다. (거의 필수라고 해야죠)

물론 치석은 스케일링으로 제거가 가능합니다. 하지만 예방이 중요하겠지요? 치석을 예방하는 방법중 하나는 금연도 있답니다. 니코틴이 치아 표면에 아주 잘붙는 성분이기 때문이지요. 유난히 치석이 잘생긴다면 부드러운 모보다는 거친모를 사용하시는것도 도움이 됩니다.
물론 치아도 마모가 되기 때문에 평상시 관리를 잘하시는게 좋지요

치석은 치은염과 구취 치주염과 연관이 깊기 때문에
평상시 치석이 유독 잘생기게하는 음식은 없기 때문에
평상시 이물질이 끼지 않도록 잘관리하시고
정기적인 스케일링을 통해 치석으로 발생되는 2차 질환을
예방할 것을 권해드립니다.