티스토리 뷰

안녕하세요, 오늘은 어떻게 보면 참 흔한 질병인, 폐렴에 대한
다양한 정보를 알아보도록 하겠습니다. 과연 폐렴의 원인과 대표적인 증상은
무엇인지, 그리고 진단과 검사는 어떻게 이뤄지고 치료는 어떻게 이뤄지는지도
살펴보도록 할 것 이며, 마지막으로 폐렴의 예방방법에 대해 살펴보고자 하오니
끝까지, 잘따라와 주시면 감사하겠습니다.
폐렴의 발생원인
사실 폐렴뿐 아니라 모든 질병이 발병하는건 수 많은 경우 중 하나기 때문에
특정지으기가 참 어려운 부분이지요, 폐렴도 마찬가지긴 하지만 가장 대표적인
케이스가 미생물로 인한 감염이 대표적입니다. 세균과 바이러스 또는 아주 드물지만
곰팡이도 원인이 될 수 있습니다. 흔히 이런걸 감염성 폐렴이라하며
이외에도 이물질을 마시는 경우나 방사선 치료등의 부작용으로 폐렴이 발병하기도 합니다.

폐렴의 대표적인 증상
폐렴은 말그대로 폐에 염증이 생기는 증상인만큼, 그 증상이 확연히 나타납니다.
대표적인것이 바로 기침과 가래인데요 호흡을 어렵게하는 증상이 나타나고
가래의 농도 또한 끈적하며 간혹 피가 나오기도 합니다.
폐를 감싸는 흉막에도 염증이 퍼진다면 숨쉴때도 통증이 동반하며 이후 설사까지 이어지는 경우가 있습니다. 그리고 피로와 근육통 그리고 두통이 이어지는 경우도 있습니다. 대게 염증이 발생시 발열 그리고 오한이 오는 환자들도 있다고하는군요.
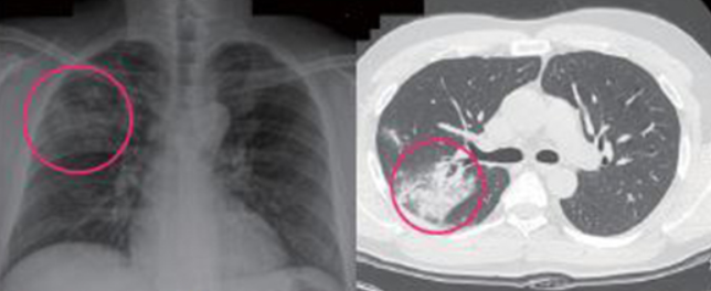
폐렴의 진단과 검사
우선 의사의 청진결과로도 대략적 예상이 가능하지만
요즘은 X-ray가 흔한 진단법이기 때문에 X-ray만찍어도 바려 결과를 알 수 있는
장점이 있습니다. 간혹 확인이 어려울 경우 CT도 이어지는 경우가 있습니다.

폐렴의 치료
폐렴의 치료는, 발병을 일으키는 균에따라 쓰이는 항생제가 다른점이 특징입니다.
물론 상황에 따라 항생제가 바뀌는 건 익숙한 일입니다.
간혹 면역력이 약한 노령층과 아이들의 경우 입원을 권유받기도 하지요.
폐렴의 예방방법
우선 대표적인 예방법인 폐렴예방 백신 접종이 있씁니다.
이는 100% 폐렴을 막아준다는 보장은 없지만, 폐렴 구균수를
줄여주는 역할을 한다고 하니, 가족력 등이 있다면
예의주시하시는걸 권해드립니다.
이상 폐렴에 대한 이야기를 마치도록 하겠습니다.
감사합니다.